반응형
치아교정 후 관리





치아교정 안해본 사람들은
눈에 보이는 교정기 없어지면 교정 끝난 줄 알지만 아님

저거 떼고 유지장치 시작하는데
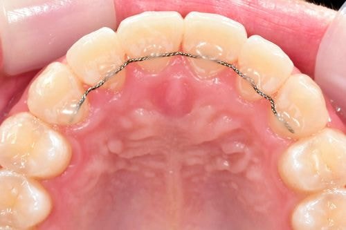
원덬은 위아래 설측 유지장치 부착했고
자기전에 가철식 유지장치 껴야함
이거 십년째 하는 중ㅇㅇ
(경우에 따라 다른데 원덬 혈육은 설측 장치만 부착함)

가끔 음식 먹다가 설측 유지장치 휠 때 있는데
그럴때마다 교정치과가서 고쳐야하고
정기적으로 교정치과 방문해야함
유지장치 안하면 서서히 원래대로 돌아간다고 함
반응형
댓글